Cosmetic Dentistry in Toronto

  • Highly Rated Dentist for Cosmetic Dental Procedures in Toronto on Google

  • Comprehensive Cosmetic Dental Procedures in Downtown Toronto

  • Advanced Equipment and Techniques

  • Free Consultation & Same-Day Appointments

Contact Us
Book Online

Our Services

Cosmetic Dentistry

Carlton Dental is rated highly among dental clinics that offer affordable cosmetic dentistry in Toronto. Our dentists are experienced in cosmetic dentistry and work with local labs and master ceramists to produce amazing cosmetic dental results. Be proud of the beauty of your smile with our high-quality dental crowns and veneers.

What is Cosmetic Dentistry?

Cosmetic Dentistry is an area of dentistry where your dentist focuses on improving the appearance of your teeth, gums, and smile. It encompasses a variety of procedures aimed at enhancing dental aesthetics, including:

  1. Teeth Whitening: Lightening stained or discolored teeth.

  2. Veneers: Thin, custom-made porcelain that cover the front of teeth to improve appearance.

  3. White Fillings: Applying a tooth-coloured resin to repair chips or gaps.

  4. Crowns and Bridges: Dental caps that cover and restore damaged teeth.

  5. Invisalign: Braces or aligners to straighten teeth.

  6. Implants: Artificial roots made from titanium that are used as anchors to replace missing teeth.

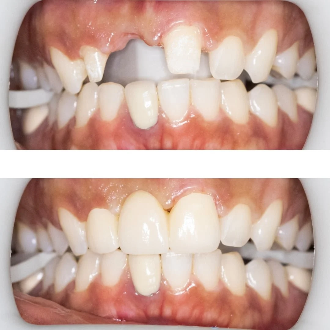
Cosmetic Dentistry Gallery

Schedule an Appointment

Ready to achieve the healthy, beautiful smile you deserve?

Contact Carlton Dental today to schedule your appointment. Conveniently located in downtown Toronto, we welcome patients of all ages and look forward to serving you and your family with excellence in dental care. Thank you for choosing Carlton Dental as your trusted oral health partner.

Book Online
Contact Us

More From Carlton Dental

At Carlton Dental, we offer a comprehensive range of dental services to address all your oral health needs. Whether you require routine cleanings and check-ups, restorative treatments, or cosmetic procedures, our experienced dentists are here to help.